Dental Implants Potomac MD: Why Every Missing Tooth Deserves to Be Replaced
Hosted by Jerry Hauck
Tweet ShareDental Implants Potomac MD: Why Every Missing Tooth Deserves to Be Replaced
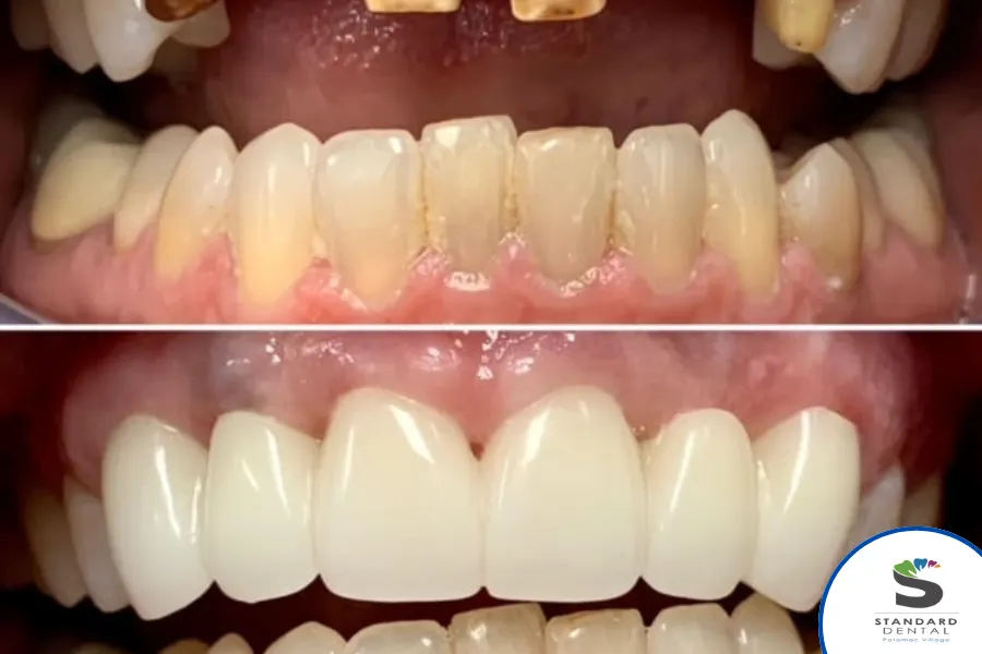
Losing a tooth is more than just a cosmetic issue — it affects your oral health, confidence, and even the structure of your face. At Standard Dental LLC in Potomac, MD, we often meet patients who underestimate the long-term impact of missing teeth. Whether it’s a single lost tooth or several, replacing them promptly with dental implants can make a world of difference for your oral health, appearance, and quality of life.
Why Replacing Missing Teeth Matters

Many people assume that if a missing tooth isn’t visible when they smile, it’s not a big deal. Unfortunately, that’s a misconception. Each tooth in your mouth has a specific role — helping you chew, speak, and maintain facial structure. When one is lost, nearby teeth begin to shift, creating gaps and misalignment. Over time, this can lead to bite problems, jaw discomfort, and even more tooth loss.
Perhaps the most serious consequence of tooth loss is bone resorption — a process where the jawbone weakens and shrinks because it’s no longer stimulated by the tooth root. This not only alters the shape of your face but also makes it more difficult to place future restorations. The good news? Dental implants can prevent all of this.
What Are Dental Implants?

A dental implant is a small titanium post that acts as an artificial tooth root. It’s surgically placed into the jawbone, where it integrates naturally with the bone through a process called osseointegration. Once healed, a custom-made crown, bridge, or denture is attached to the implant, giving you a durable and natural-looking replacement tooth.
At Standard Dental LLC, we use advanced technology and imaging to ensure precise implant placement and optimal results. Our team creates personalized treatment plans that restore both function and aesthetics, allowing you to smile with complete confidence again.
The Benefits of Dental Implants

Dental implants are considered the gold standard for tooth replacement because they offer unique advantages over other options like dentures and bridges:
- Natural Look and Feel — Implants mimic the appearance and strength of real teeth. You can eat, talk, and smile without worry.
- Permanent Solution — With proper care, implants can last decades — often a lifetime.
- Bone Preservation — Unlike dentures, implants stimulate the jawbone, preventing bone loss.
- Enhanced Comfort — No slipping, clicking, or irritation — just a stable, secure fit.
- Improved Oral Health — Adjacent teeth are not altered as with bridges, helping preserve your natural tooth structure.
Are You a Candidate for Dental Implants?

Most adults with good oral and overall health are candidates for implants. Ideal candidates have sufficient bone density in the jaw and healthy gums. However, even if you’ve experienced bone loss, procedures like bone grafting can rebuild the foundation needed for successful implantation.
During your dental implant consultation at Standard Dental in Potomac, our specialists will evaluate your mouth, review X-rays, and discuss your options. Every treatment is customized, ensuring you get the best long-term outcome tailored to your smile.
The Dental Implant Process

The entire implant process typically involves three main stages:
- Consultation and Planning — Your dentist conducts a thorough exam and creates a digital treatment plan.
- Implant Placement — The titanium post is carefully placed into your jawbone under local anesthesia or sedation for comfort.
- Restoration and Healing — After a few months of healing, your custom crown or prosthetic tooth is attached, completing your new smile.
At Standard Dental LLC, patient comfort is our priority. From start to finish, we use modern technology and compassionate care to make the experience smooth and stress-free.
Why Choose Standard Dental LLC for Dental Implants in Potomac, MD?
Our dental team combines expertise, precision, and artistry to deliver exceptional implant results. We focus on restoring not only your smile but also your confidence and ability to enjoy life’s simple pleasures — like eating your favorite foods without hesitation.
With years of experience in cosmetic and restorative dentistry, Dr. Arta Moaddab and Dr. Melika Shatergholi ensure that every implant procedure meets the highest standards of safety and aesthetics. Our practice in Potomac, MD, is equipped with cutting-edge technology and a warm, welcoming atmosphere where patients feel cared for from the moment they walk in.
Final Thoughts
Tooth loss doesn’t have to define your smile or your confidence. Dental implants potomac MD offer a reliable, natural-looking, and long-lasting way to restore what you’ve lost. Whether you’ve recently lost a tooth or have been living with gaps for years, now is the perfect time to explore your options.
At Standard Dental LLC, we’re committed to helping you achieve a healthy, beautiful smile that lasts a lifetime. Schedule your dental implant consultation in Potomac, MD, today and take the first step toward a complete, confident smile.